Control measures included a thorough decontamination of Kettering hospital, where the vast majority of the cases have been reported, and at Sycamore Medical Center in Miamsburg, where 17 cases were reported in separate outbreak discovered earlier this week, Weinstein said.
RELATED: Second hospital contains scabies outbreak
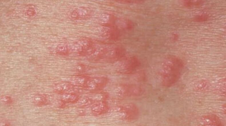
The scabies outbreaks were traced back to one patient at each hospital who each had a highly contagious form of scabies, known as Norweigian scabies, according to Weinstein, who said no other patients have been infected with the common skin infestation of tiny mites called Sarcoptes scabiei. The mites burrow into the top layer of human skin to lay their eggs, causing small itchy bumps and blisters.
The vast majority of Kettering employees who were infected at both hospitals had direct contact with the infected patients at each hospital or were in their rooms, according to Weinstein, who said that while the infestation originated with patients with Norwegian scabies, all of the hospital employees had a less severe, easily treatable form of the disease.
“There was no scabies outbreak, and there is no relationship between the two cases,” he said. “There was no spread of scabies from Kettering hospital to Sycamore hospital. Just by a really, really bad coincidence, there happened to be a patient with Norwegian scabies last week at Sycamore hospital, too.”
RELATED: 5 things you should know about scabies
All employees diagnosed with scabies were kept away from the hospitals until they were treated and determined to no longer be contagious. Many have already returned to work, Weinstein said.
It can take up to four to six weeks before scabies symptoms appear, during which time an infected person can still spread the disease.
Consequently, Kettering has implemented a system-wide program to inform all management and medical staff about scabies and how scabies is and is not spread, and is requiring employees at the infested hospitals to have prophylactic treatments with an oral medication known as ivermectin.
“For people who’ve been possibly exposed, it’s a one-time dose, and it’s effective at preventing them from going on to developing active scabies,” Weinstein said. “We are currently underway with treating every single health care worker here at the (Kettering) hospital.”
About the Author
